EXPERIMENTAL: les premiers pas de l’art au niveau « cellulaire »
L'exposition étudiante organisée par l'Artésienne de Paris Descartes aura lieu dans la Galerie Saint Germain du siège de l'université, au 12 rue de l'École de Médecine 75006 Paris, du 15 avril au 6 mai 2015, du LUNDI au SAMEDI de 10H à 18H.
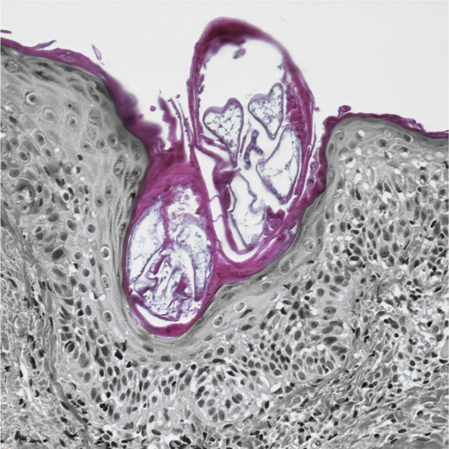
[ART]EFACT – n.m. (lat. artis facta, effets de l’art). Structure ou phénomène d’origine artificielle ou accidentelle, rencontré au cours d’une observation ou d’une expérience portant sur un phénomène naturel. Encyclopédie Larousse
Les artefacts sont très fréquemment rencontrés dans le domaine de l’anatomo-pathologie, spécialité médicale ayant pour but l’analyse des cellules et tissus humains à partir de multiples préparations : étalement, apposition, inclusion, coupe et colorations variées.
Les prises de vues ici présentées correspondent à des images choisies non pas avec le regard du praticien cherchant les indices dans le but de fournir un diagnostic mais avec un regard se voulant uniquement esthétique. En effet, ces clichés plus ou moins retravaillés sont issus d’une seconde lecture de véritable cas dont les préparations ont pourtant été faites initialement dans un but diagnostique.
Les artefacts qui ont été photographiés sont la conséquence de phénomènes multiples. Il s’agit pour les préparations cytologiques de réalisations faites par le médecin-préleveur qui réalise de manière inconsciente chaque jour et pour chaque patient une œuvre unique qui ne sera finalement révélée voire magnifiée que dans les services d’anatomie pathologique. Il s’agit également de petits défauts survenus au cours des différentes étapes de la préparation par les techniciens de laboratoire assez anodins pour ne pas empêcher l’interprétation des images mais suffisants pour créer une illusion. Il s’agit enfin d’images construites par le plan de coupe ou la prise de coloration par le matériel tissulaire réalisant au final une forme irréaliste ou un contraste atypique. L’ensemble de ces images est le plus souvent négligé, n’ayant pas d’intérêt scientifique ou médical. Elles peuvent pourtant laisser de temps en temps, s’évader l’esprit du pathologiste, l’espace de quelques instants, en proie à l’illusion, au mirage qu’elles suscitent.
Ainsi, chacun d’entre nous peut se laisser aller à l’émerveillement devant la beauté de la nature, à l’échelle de l’infiniment petit, avec l’immense richesse de formes et de couleurs dont revêt le corps humain.
L’EXPOSTION « DONNER A VOIR » EDITION 2015
Le thème de l’Edition 2015 de l’exposition « Donner à Voir » est ILLUSIONS.
L’exposition étudiante organisée par l’Artésienne de Paris Descartes aura lieu dans la Galerie Saint Germain du siège de l’université, au 12 rue de l’École de Médecine 75006 Paris, du 15 avril au 6 mai 2015.
Horaires d’ouverture à la visite :
LUNDI au SAMEDI de 10H à 18H
jusqu’au 6 mai 2015 inclus
Pour votre plus grand plaisir, je vous offre une invitation pour le vernissage de l’exposition qui aura lieu le 17 avril 2015 et où seront exposées les oeuvres présentées ci-dessus :

Plus d’informations sur la page de l’événement Facebook.
















![[ART]EFACT #1](http://doctiblog.net/wp-content/uploads/2015/04/1-300x150.jpeg)
![[ART]EFACT #2](http://doctiblog.net/wp-content/uploads/2015/04/2-300x300.jpeg)
![[ART]EFACT #3](http://doctiblog.net/wp-content/uploads/2015/04/3-300x300.jpeg)
![[ART]EFACT #4](http://doctiblog.net/wp-content/uploads/2015/04/4-125x300.jpeg)
![[ART]EFACT #5](http://doctiblog.net/wp-content/uploads/2015/04/5-300x300.jpeg)
![[ART]EFACT #6](http://doctiblog.net/wp-content/uploads/2015/04/6-300x300.jpeg)







